Open Inventor Release 2026.1.0
 
Loading...
Searching...
No Matches
Capping Geometry

VolumeViz Capping Geometry

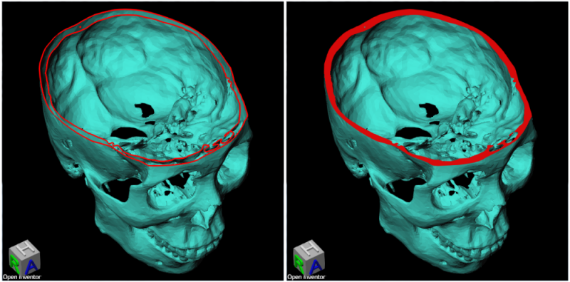
The PlaneGeometryIntersection utility class computes and (optionally) renders the intersection of a geometric shape with clip plane.

In clip line mode it computes a set of line segments corresponding to the intersection.

In polygon mode it computes a set of polygon boundaries that can be used as a "cap" for clipped geometry.

The computed geometry can be rendered and/or exported (for example to an STL file).

FILES:

    • Medical/Rendering/Techniques/medicalCappingGeometry/cappingGeometry.cxx

SCREENSHOT:

    Clip line mode and capping geometry mode.