Open Inventor Release 2026.1.0
 
Loading...
Searching...
No Matches
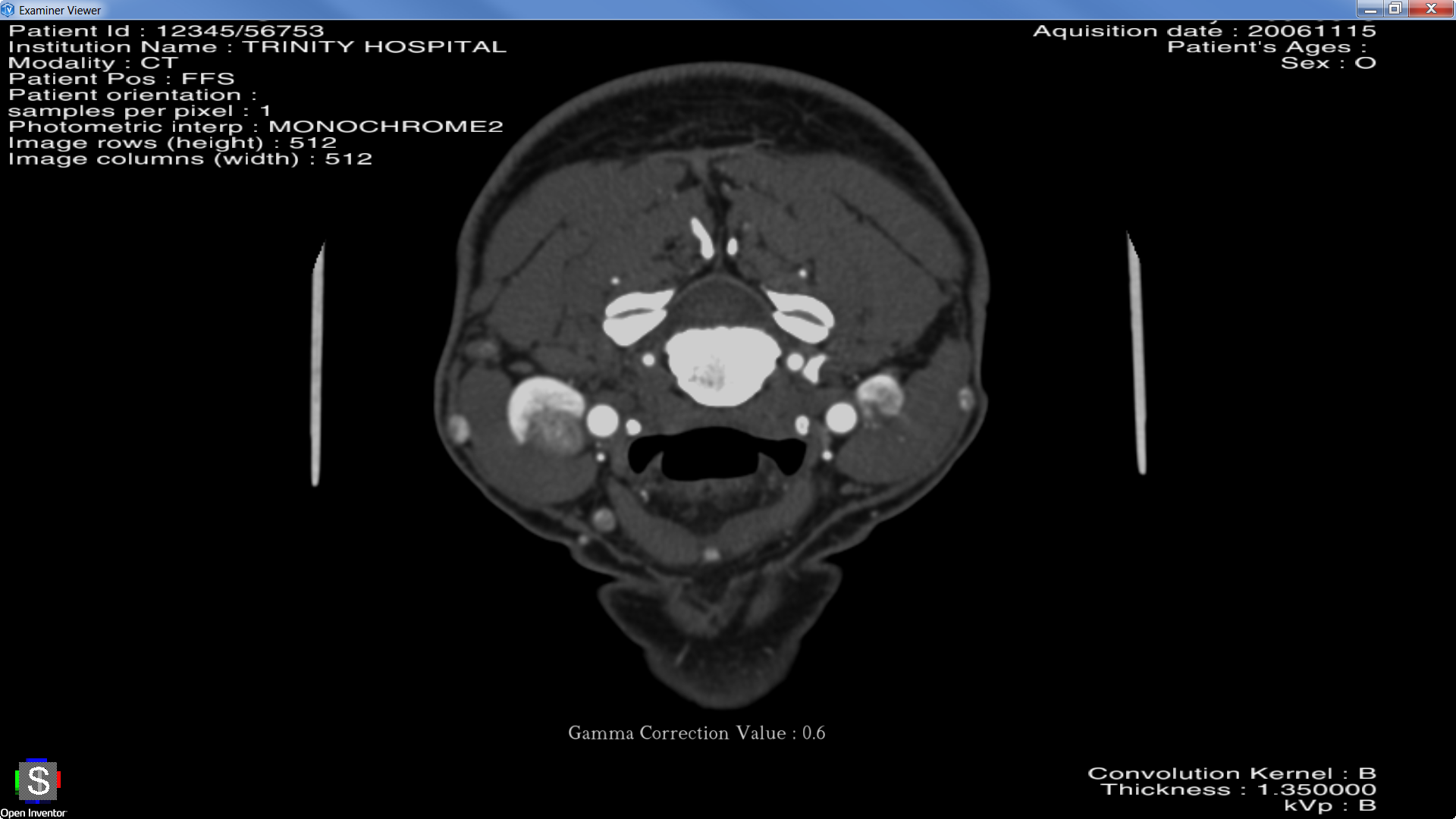
Gamma Correction

VolumeViz Simple demonstration presenting gamma correction.

Usage:

  • Scroll the mouse to change the slice number.
  • Use the Up Arrow key to increase the gamma correction value.
  • Use the Down Arrow to decrease the gamma correction value.
  • You can see the current value of the gamma correction on the bottom part of the viewer.

FILES:

    • Medical/Rendering/Techniques/medicalGammaCorrection/medicalGammaCorrection.cxx
    • Medical/Rendering/Techniques/medicalGammaCorrection/gammaCorrection_frag.glsl

SEE ALSO

SoVolumeData SoDataRange SoOrthoSlice SoVolumeShader SoFragmentShader

SCREENSHOT: