Open Inventor Release 2026.1.0
 
Loading...
Searching...
No Matches
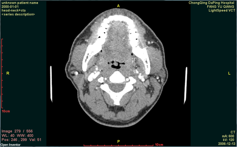
DICOM Image Viewer

VolumeViz Simple DICOM Image Viewer.

This example shows a number of display and interaction techniques combined to create a very basic DICOM image stack viewer. Features include:

  • DICOM information (patient, study, series, etc) is displayed using screen locked annotation text.
  • The image number and number of images are displayed.
  • The window level and width values are displayed.
  • Orientation markers are (letters near edge of window) are displayed.
  • Dynamic scale bars are displayed.

Mouse buttons

    • In Selection mode (the default):
      • No buttons: Voxel position and value are displayed as mouse moves.
      • Button 1: Image number changes as mouse moves up and down.
      • Button 2: Window level and width change as mouse moves.
      • Wheel: Changes image number.
    • In Viewing mode (press ESC to toggle):
      • Button 1: Zoom in and out as mouse moves.
      • Button 2: Pan image as mouse moves.
      • Wheel: Zoom

Hot keys:

    • A : Switch to Axial (Transverse) view.
    • C : Switch to Coronal view.
    • S : Switch to Sagittal view.
    • R : Reset window level and width.
    • H : Reset pan and zoom (default view).

SEE ALSO

SoVolumeData SoDataRange SoOrthoSlice

SCREENSHOT: